equipo oftálmico Ultra-ancho de Angiograph Digital de la retina de la exploración del laser del campo con el zoom óptico 100°/60°/30°
Descripción del producto
Tecnología de exploración confocal del laser de la iniciativa principal y nacional de China, realizar reflejo del fondo y el capilar
proyección de imagen de la fluorescencia.
Característica
| 1 | ![]() |
Angiografía de la fluoresceína del fondo (FFA): Cambio circulatorio retiniano |
1) “Estándar de oro” para juzgar enfermedad de la retina 2) Para reflejar la patología fisiológica de los vasos sanguíneos retinianos a los capilares 3) Para examinar completo las enfermedades desapercibidas en el examen normal del fondo |
| 2 | ![]() |
Angiografía del verde de Indocyanine (ICGA) Buques coroides y lesiones de RPE |
1) Estándar de oro para la diagnosis del PVC 2) Para revelar los detalles del ciclo coroides 3) Suplemento a FFA, encontrar CNV latente desapercibido en FFA 4) Para reflejar principalmente los vasos sanguíneos condicionan en etapa temprana y media, en última etapa para reflejar la forma y la función de las células de RPE |
| 3 | ![]() |
Infrarrojo (NIR) |
1) Para observar claramente la membrana anterior macular y el edema enquistado macular 2) Cómodo, ningún estímulo 3) El penetrar fuerte |
| 4 | ![]() |
Fluorescencia auto (AF) | Para registrar la distribución material fluorescente del fondo en la condición normal o de la patología |
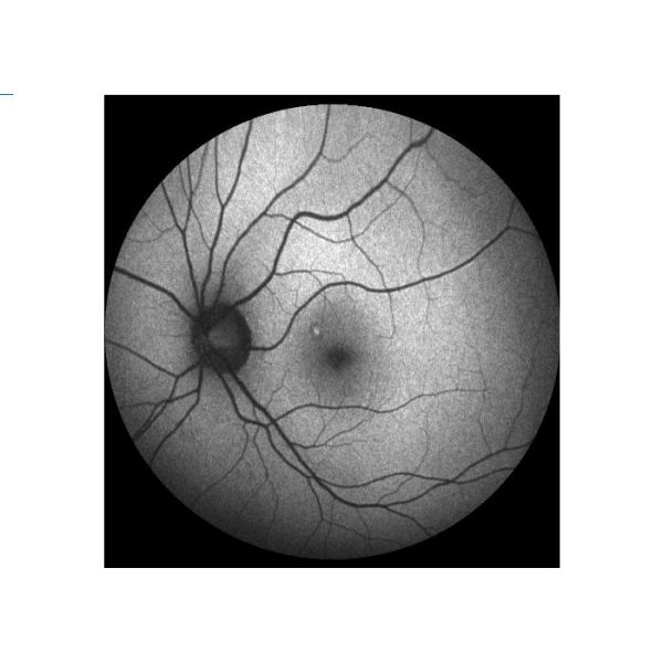
| 5 | ![]() |
Rojo libere (el RF) | Para observar capa retiniana de la fibra de nervio, el disco óptico, la membrana de Epiretinal, dobleces retinianos y quistes. |
| 6 | ![]() |
Imagen multicolora del laser del fondo (multicolor) | La imagen multicolora del laser tiene valor más de diagnóstico para una variedad de enfermedades del fondo incluyendo el dr, y puede ser utilizada más claramente para la imagen con el pequeño alumno y la turbiedad de medios dióptricos |
Casos








Ventaja
| 1 | Más exacto |
Seis modos de imagen: FFA/ICGA/AF/RF/NIR/MULTICOLOR, resolución óptica de 5um |
| 2 |
Más rápidamente |
1) Diseño óptico amplio de la lente de opinión del campo 100°/60°/30°, proyección de imagen fina 2) el mosaico automático de la imagen, dos imágenes puede cubrir la proyección de imagen entera de la retina |
| 3 | Más cómodo |
1) No midriático (tamaño mínimo del alumno de hasta sólo 2m m), puede ser utilizado para la proyección de imagen clara de los pacientes de la catarata 2) Ninguna luz de destello/débil para una mejor experiencia |
| 4 |
Más estable |
1) Nueva generación de fuente de luz laser, más estable 2) Diseño integrado, simple y durable |
Especificación
| 1 | Modelo | MÁS DE LA CRO (COORDINADORA) |
| 2 | Nombre | angiograph Ultra-ancho de la retina de la exploración del laser del campo - MÁS de la CRO (COORDINADORA) |
| 3 | Modo de la proyección de imagen | FFA + ICGA + AF + RF + NIR + MCOLOR |
| 4 | Lente de la lectura óptica | Zoom óptico 100°/60°/30° |
| 5 | FOV de la proyección de imagen del fondo | 160° |
| 6 | Fuente de luz | Láser de estado sólido |
| 7 | Frecuencia del capítulo | 16 fps |
| 8 | Seguimiento del fondo | Hacer un promedio del seguimiento en tiempo real |
| 9 | Tamaño mínimo del alumno | 2 milímetros |
| 10 | Resolución de la lesión | 5 um |
| 11 | Salida del vídeo/de la imagen | Formatos del vídeo o de la imagen de Avi Jpg Tiff de la ayuda |
| 12 | Tecnología única de Microclear |
diseño Ultra-ancho de la lente de campo + fondo en tiempo real que sigue + zoom óptico dinámico + exploración confocal del laser |