Descripción del producto:
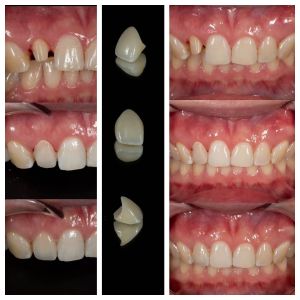
Prótesis de Zirconio que Imitan los Dientes Naturales
Este es un conjunto de imágenes de registro de antes y después de la restauracióaprender más
Su mensaje de solicitud ha sido enviado con éxito al proveedor. Por favor manténgase en contacto y se pondrán en contacto con usted tan pronto como sea posible.