Mancha de peroxidasa de leucocitos (POX) (método de oxidación WG-KI) Manchas coloridas basoscleras
Principio de ensayo
La peroxidasa en las células descompone los peróxidos para generar oxígeno naciente.El yodo se combina posteriormente con los componentes activos de agentes que desarrollan el color como WG, formando partículas de color que se localizan en el citoplasma.
Resultados de las manchas
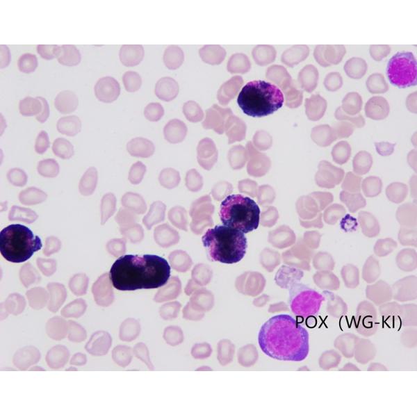
En la reacción positiva, se hallarán en el citoplasma gránulos de color marrón rojo a azul oscuro, los gránulos de color marrón rojo son los de reacción débilmente positiva.Gránulos de color púrpura oscuro a azul oscuro que se extienden sobre el citoplasma e incluso cubren completamente los núcleos en una fuerte reacción positivaEl citoplasma azul significa negativo y no se encuentran gránulos positivos, mientras que los núcleos se teñirán uniformemente de rojo-púrpura.y su reacción positiva es azul oscuroAlgunos gránulos celulares se propagan difusamente hacia el exterior de la célula.

Especificación del embalaje
|
Nombre del producto
|
Refere # | Especificación |
|
Mancha de peroxidasa de leucocitos (POX) (método de oxidación WG-KI) |
Bajo el nivel de los requisitos del punto 3. | 5 Pruebas/Kit |
|
Mancha de peroxidasa de leucocitos (POX) (método de oxidación WG-KI) |
Bajo el nivel de la norma BA4110 | 20 Pruebas/kit |
|
Mancha de peroxidasa de leucocitos (POX) (método de oxidación WG-KI) |
Bajo el nivel de los requisitos de la norma BA4110B | 100 ensayos por equipo |